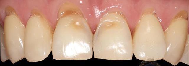
Клиновидний дефект — це специфічна форма руйнування зубів, яка проявляється у вигляді заглиблення або виїмки в області шийки зуба. Цей дефект часто виявляється на жувальних зубах і зазвичай асоціюється з певними факторами, такими як неправильна гігієна порожнини рота, механічний вплив, а також хімічне руйнування емалі. У цій статті ми розглянемо причини появи клиновидних дефектів, їх наслідки та методи лікування.
Причини появи клиновидного дефекту
Клиновидний дефект може виникати з кількох причин. Однією з основних причин є механічний вплив на зуби. Неправильна техніка чищення зубів, надмірний тиск на зуби під час чищення або використання жорсткої зубної щітки можуть призвести до пошкодження емалі і виникнення клиновидного дефекту. Також постійне використання зубів як інструменту, наприклад, для відкриття упаковок, може сприяти виникненню цього виду ушкоджень.
Хімічне руйнування емалі також відіграє важливу роль у формуванні клиновидних дефектів. Кислоти, що містяться в продуктах харчування та напоях, таких як лимони, газовані напої та інші кислі продукти, можуть роз’їдати емаль і викликати її зношення. Крім того, рефлюксна хвороба, при якій кислота з шлунку потрапляє в стравохід, може негативно позначитися на стані зубів.
Наслідки клиновидного дефекту
Клиновидний дефект може призвести до різних наслідків. По-перше, такий дефект часто викликає чутливість зубів, що може проявлятися болем при вживанні холодної або гарячої їжі та напоїв. Крім того, пошкоджена область зуба стає більш вразливою до впливу бактерій і карієсу, що може призвести до подальшого руйнування зуба.
Якщо клиновидний дефект не лікувати, він може збільшуватися в розмірах, що може призвести до серйозніших стоматологічних проблем, таких як пульпіт або пародонтит. Важливо зазначити, що клиновидні дефекти не тільки впливають на здоров’я зубів, але й можуть погіршити естетику усмішки.
Методи лікування, коли клиновидний дефект зубів вже діагностовано

Якщо клиновидний дефект серйозний і супроводжується значним руйнуванням зуба, може знадобитися більш серйозне лікування, таке як установка коронки або вкладки. У складних випадках може знадобитися хірургічне втручання для видалення пошкодженого зуба і подальшої заміни його імплантом.
Профілактика клиновидних дефектів
Запобігти виникненню клиновидних дефектів можна за допомогою правильної гігієни порожнини рота. Важливо чистити зуби двічі на день м’якою зубною щіткою і використовувати зубну нитку. Регулярні візити до стоматолога для професійного чищення та огляду допоможуть виявити та запобігти виникненню проблем на ранній стадії. Крім того, слід уникати зловживання кислими продуктами і напоями, а також бути обережними при використанні зубів як інструмента.
Висновок
Клиновидні дефекти зубів — це поширена проблема, яка може призвести до серйозних стоматологічних наслідків. Важливо уважно стежити за станом зубів і при перших ознаках змін необхідно звернутися до стоматолога. Своєчасне лікування та профілактика допоможуть зберегти здоров’я зубів і забезпечити красиву усмішку на довгі роки.


