Прицільний знімок зубів

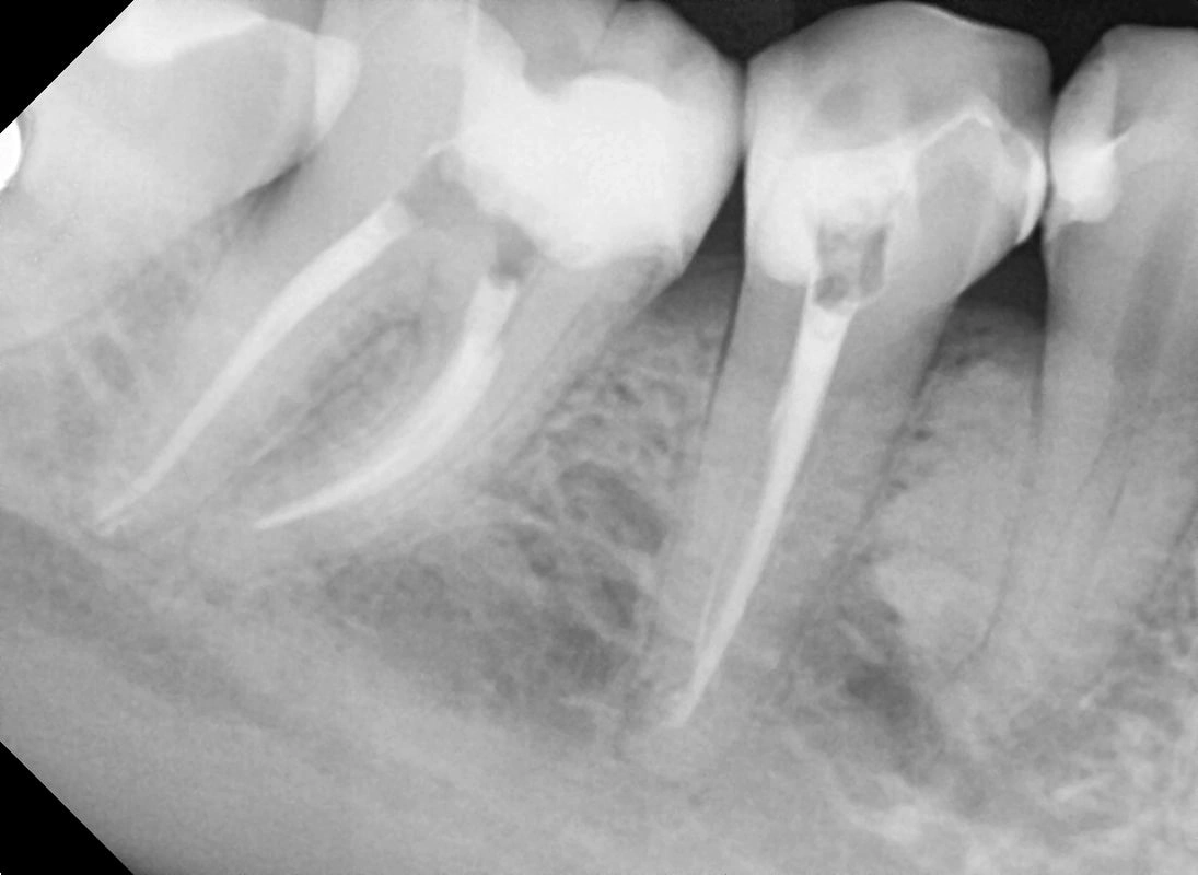
Прицільний знімок зубів – це локальний знімок 1-3 зубів, який проводять за допомогою цифрового рентгенологічного апарата (радіовізіографа). Він є найпростішим і найпоширенішим методом діагностики в стоматології.

Наш сучасний рентгеноапарат в клініці Brillant Dental Clinic має дуже низький рівень опромінення, тому ним дозволено проводити дослідження вагітним і дітям. Прицільний знімок допомагає підтвердити діагноз, побачити приховані дефекти та підібрати правильне лікування.

Рентгенівський знімок зубів знадобиться перед початком лікування:

карієсу – знімок дозволяє виявити каріозні ураження під пломбою або протезом

пульпіту – лікар оцінює стан зубних коренів, визначає кількість каналів

перикороніту – для уточнення положення зуба

гранульоми, кісти або травми зуба

перед видаленням зуба

Як роблять знімок зуба

На грудях фіксується захисний фартух
В роті розміщується датчик
Датчик поміщають за об'єктом дослідження, а з зовнішнього боку зуба у напрямку до датчика розміщують рентгенівську трубку

 Датчик має невеликі розміри і високу чутливість. X-промені долають мінімально можливу відстань, що дозволяє істотно знизити променеве навантаження у порівнянні зі звичайними плівковими апаратами. Висока роздільна здатність датчика дає лікареві можливість детально розглянути досліджувані ділянки.

Переваги прицільного знімка зубів

Дослідження, яке ми проводимо за допомогою цифрового радіовізіографу, має наступні переваги:

  • хороша деталізація структур зуба і навколозубних тканин
    безпеку для здоров’я, що дозволяє за необхідності призначати повторне проведення досліджень
  • можливість зберігати знімки на цифрових носіях, передавати їх будь-якими каналами зв’язку
  • зображення обраної ділянки може бути збільшено, що дозволить отримати більше відомостей про патологію
  • результати доступні відразу після процедури
  • дана процедура займає кілька секунд і абсолютно безболісна для пацієнта


Висока інформативність методу дозволяє поставити точний діагноз і, відповідно, обрати найбільш оптимальне лікування. Крім того, прицільний знімок дасть змогу контролювати процес одужання, коригувати процедури, що застосовуються. Ще одна перевага — невисока вартість дослідження.

Запишіться на консультацію

Вкажіть телефон, ми передзвонимо вам протягом 15 хвилин у робочий час

Або зв'яжіться з нами самі
Надійна стоматологія у найскладніших випадках

Запишіться на консультацію